Foot & Ankle Posterior Ankle Longitudinal 2 Image

Foot & Ankle Posterior Ankle Longitudinal 2 Image

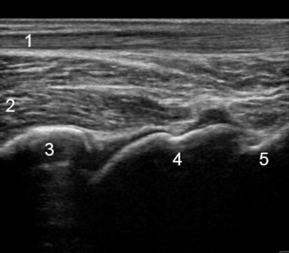
  1. Achilles
  2. Flexor Hallucis Longus
  3. Tibia
  4. Talus
  5. Calcaneus