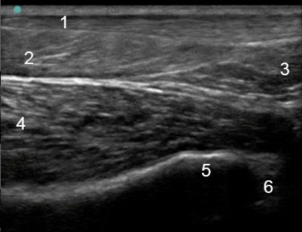
Foot & Ankle Posterior Ankle Longitudinal 3 Image

Foot & Ankle Posterior Ankle Longitudinal 3 Image

  1. Achilles
  2. Soleus
  3. Kager’s Fat Pad
  4. Flexor Hallucis Longus
  5. Tibia
  6. Talus