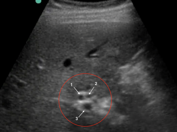
Gallbladder Common Bile Duct (CBD) – Transverse Image

Gallbladder Common Bile Duct (CBD) – Transverse Image

  1. Common Bile Duct (CBD)
  2. Hepatic Artery
  3. Portal Vein