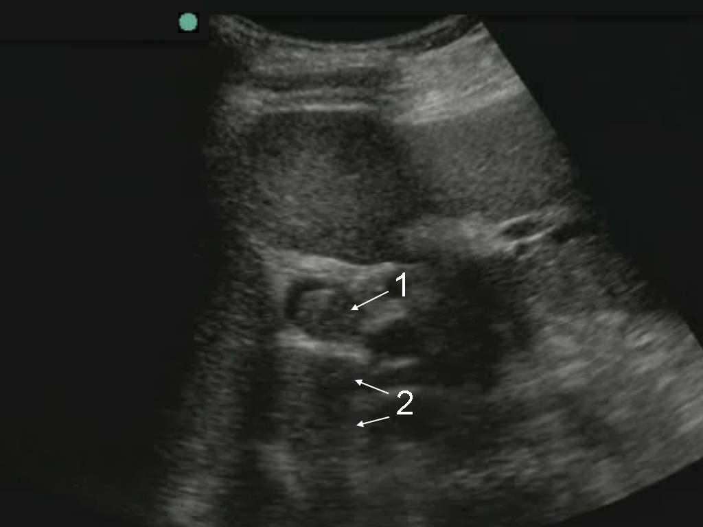
Gallbladder Common Bile Duct Stone (CBD) – Transverse Image

Gallbladder Common Bile Duct Stone (CBD) – Transverse Image

  1. Common Bile Duct (CBD) Stone
  2. Shadowing from Stone