Gallbladder Obstructed Common Bile Duct (CBD) Anatomy Image

Gallbladder Obstructed Common Bile Duct (CBD) Anatomy Image

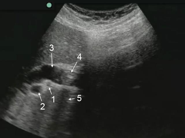
  1. Hepatic Artery
  2. Main Portal Vein (PV)
  3. Common Bile Duct (CBD)
  4. Common Bile Duct Stone
  5. Shadow from Stone