Hand MCP Joint Dorsal Normal vs Inflammatory Synovitis Image

Hand MCP Joint Dorsal Normal vs Inflammatory Synovitis Image

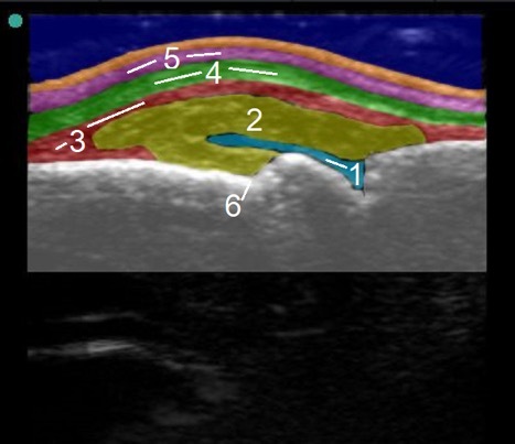
  1. Synovial Fluid
  2. Joint Capsule
  3. Aponeurosis
  4. Extensor Tendon
  5. Extensor Hood
  6. Metacarpal Notch