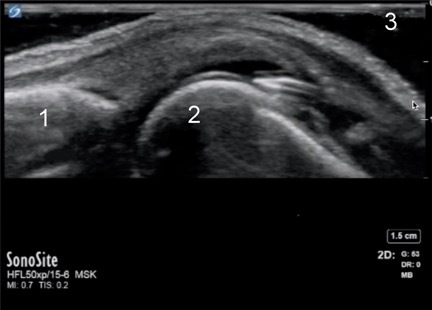
Hand MCP Joint Needle Placement- Aspiration Injection Image

Hand MCP Joint Needle Placement- Aspiration Injection Image

  1. Proximal Phalanx
  2. Distal Metacarpal Head
  3. Sterile Gel