Heart Apical 5 Chamber View 2 Image

Heart Apical 5 Chamber View 2 Image

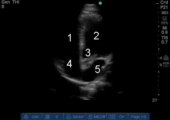
  1. Right Ventricle (RV)
  2. Left Ventricle (LV)
  3. Aorta
  4. Right Atrium (RA)
  5. Left Atrium (LA)