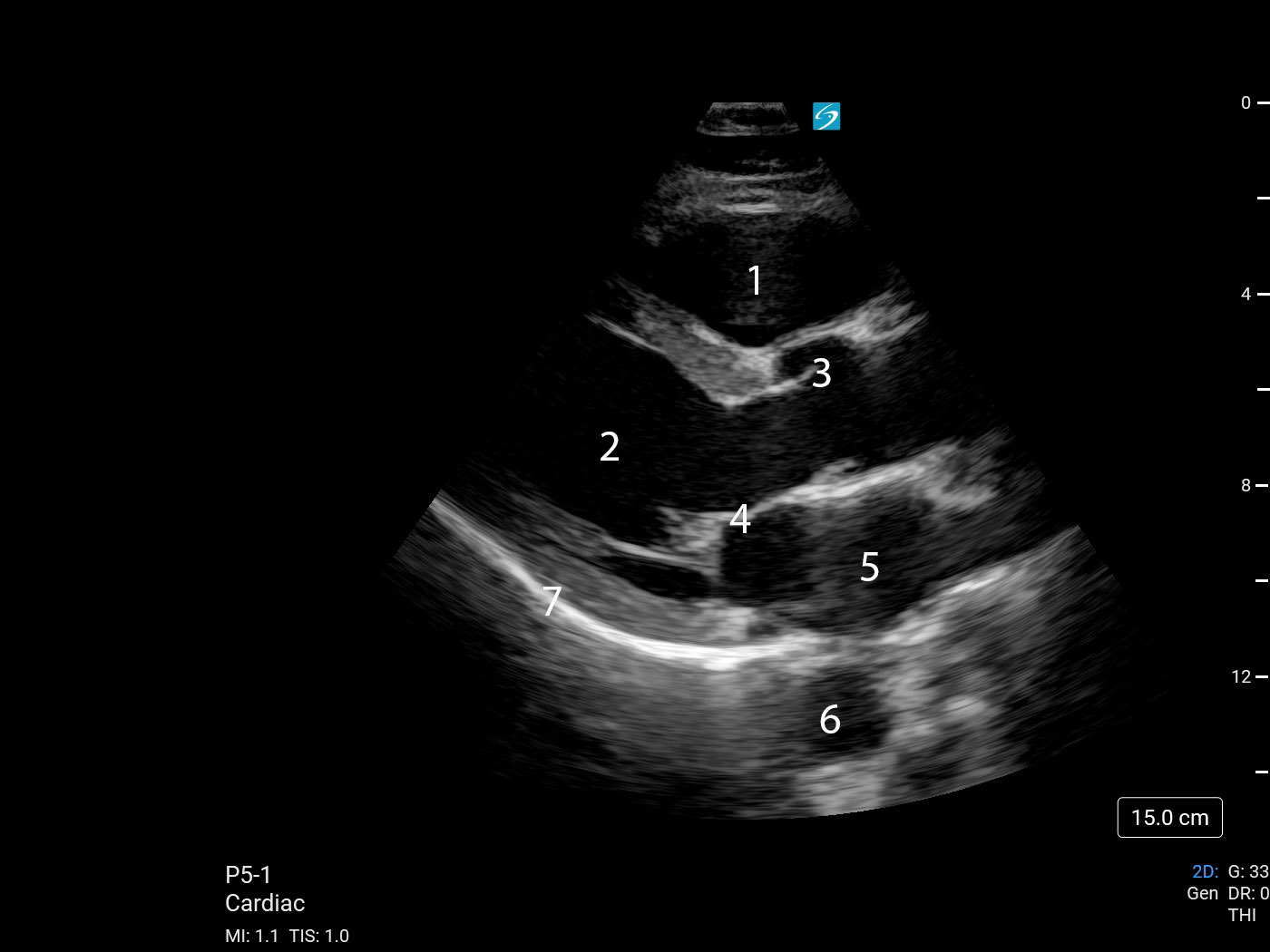
Heart Parasternal Long Axis (PLAX) (Sonosite PX P5-1) 2 Image

Heart Parasternal Long Axis (PLAX) (Sonosite PX P5-1) 2 Image

  1. Right Ventricular Outflow Tract (RVOT)
  2. Left Ventricle (LV)
  3. Aortic Valve (AV)
  4. Mitral Valve (MV)
  5. Left Atrium (LA)
  6. Descending Thoracic Aorta (DTA)
  7. Pericardium