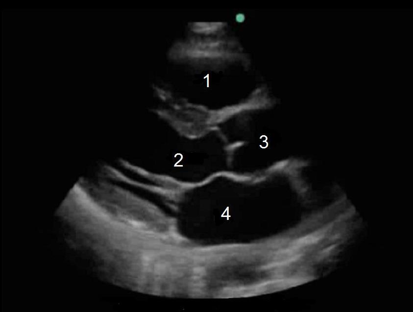
Heart Parasternal Long Axis (PLAX) in Diastolic Image

Heart Parasternal Long Axis (PLAX) in Diastolic Image

  1. Right Ventricle (RV)
  2. Left Ventricular Outflow Tract (LVOT)
  3. Aorta 
  4. Left Atrium (LA)