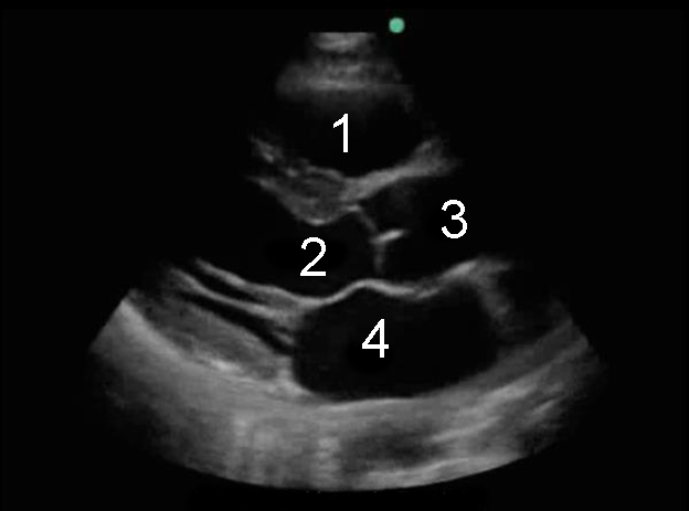
Heart Parasternal Long Axis (PLAX) Image

Heart Parasternal Long Axis (PLAX) Image

Parasternal Long Axis (PLAX) in Diastolic

  1. Right Ventricle (RV)
  2. Left Ventricular Outflow Tract (LVOT)
  3. Aorta
  4. Left Atrium (LA)