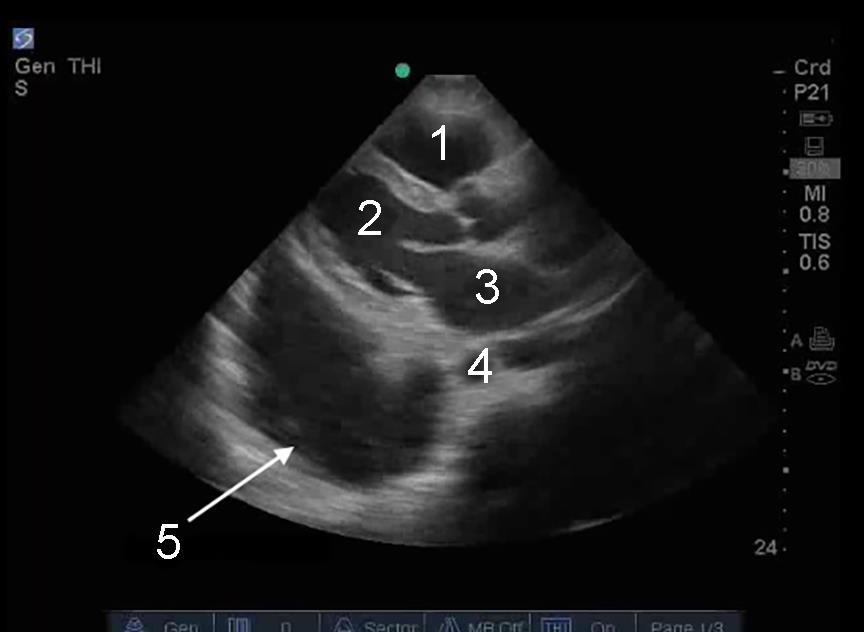
Heart Parasternal Long Axis (PLAX) Large Pleural Fluid Image

Heart Parasternal Long Axis (PLAX) Large Pleural Fluid Image

  1. Right Ventricle (RV)
  2. Left Ventricle (LV)
  3. Left Atrium (LA)
  4. Aorta
  5. Large Pleural Fluid (Effusion)