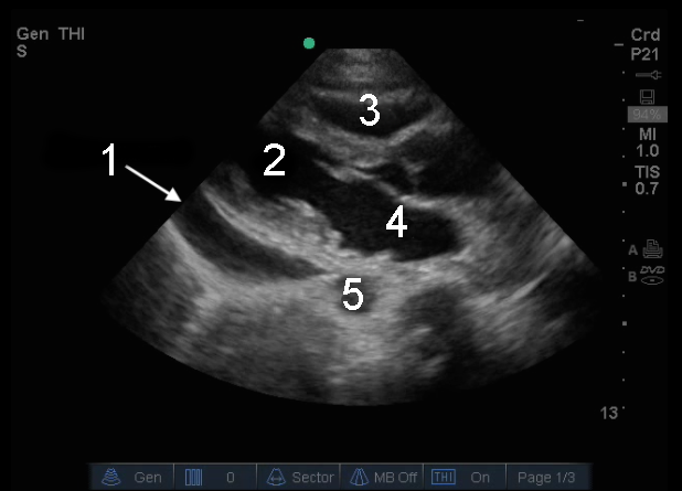
Heart Parasternal Long Axis (PLAX) Pericardial Fluid Image

Heart Parasternal Long Axis (PLAX) Pericardial Fluid Image

  1. Pericardial Effusion (Fluid)
  2. Left Ventricle (LV)
  3. Right Ventricle (RV)
  4. Left Atrium (LA)
  5. Aorta (Ao)