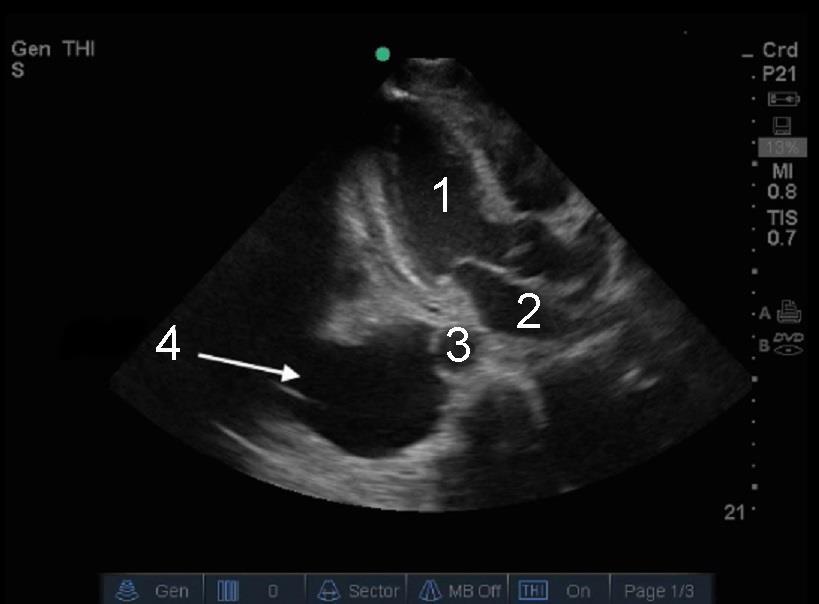
Heart Parasternal Long Axis (PLAX) Pleural Fluid 2 Image

Heart Parasternal Long Axis (PLAX) Pleural Fluid 2 Image

  1. Left Ventricle (LV)
  2. Left Atrium (LA)
  3. Aorta
  4. Right Pleural Fluid (Effusion)