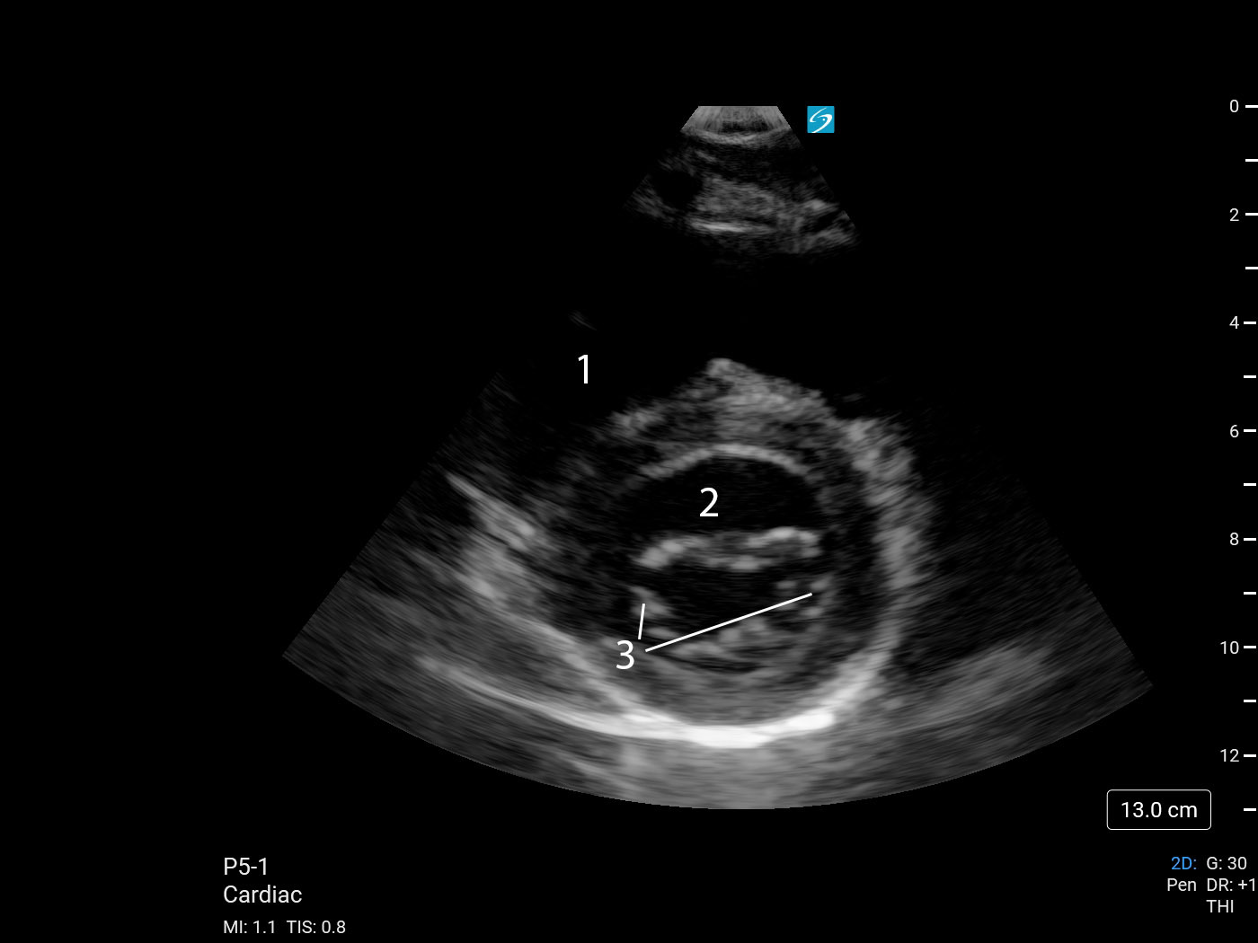
Heart Parasternal Short Axis (PSAX) (Sonosite PX P5-1) 1 Image

Heart Parasternal Short Axis (PSAX) (Sonosite PX P5-1) 1 Image

  1. Right Ventricle (RV)
  2. Left Ventricle (LV)
  3. Valves