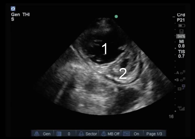
Heart Parasternal Short Axis (PSAX) Potential Cor Pulmonale Image

Heart Parasternal Short Axis (PSAX) Potential Cor Pulmonale Image

  1. Right Ventricle (RV)
  2. Left Ventricle (LV)