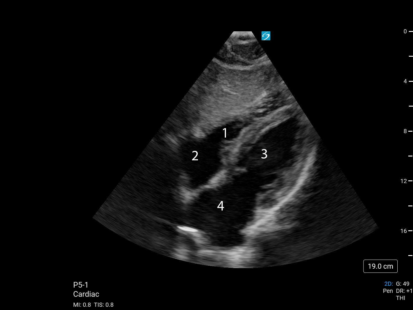
Heart Subcostal 4 Chamber View (Sonosite PX with P5-1) Image

Heart Subcostal 4 Chamber View (Sonosite PX with P5-1) Image

  1. Right Ventricle (RV)
  2. Right Atrium (RA)
  3. Left Atrium (LA)
  4. Left Ventricle (LV)