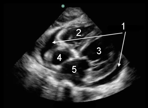
Heart Subxiphoid Fluid Image

Heart Subxiphoid Fluid Image

  1. Pericardial Fluid
  2. Right Ventricle (RV)
  3. Left Ventricle (LV)
  4. Right Atrium (RA)
  5. Left Atrium (LA)