Heart Subxiphoid Moderate Effusion Image

Heart Subxiphoid Moderate Effusion Image

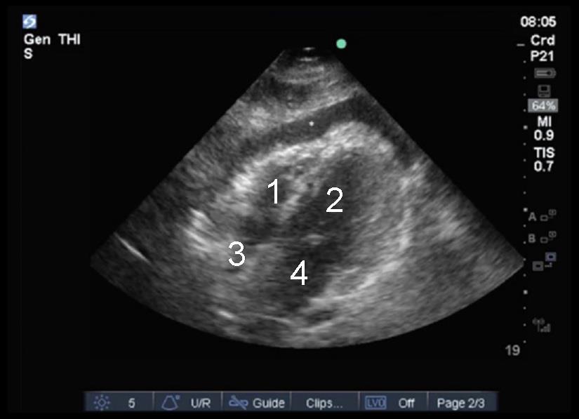
  1. Right Ventricle (RV)
  2. Left Ventricle (LV)
  3. Right Atrium (RA)
  4. Left Atrium (LA)