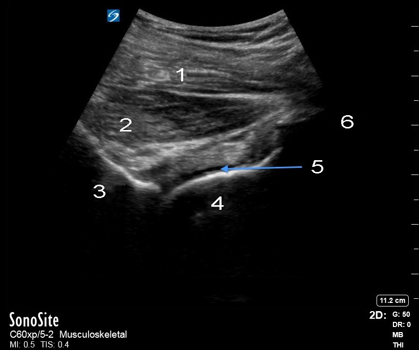
Hip Lateral Joint Recess Image

Hip Lateral Joint Recess Image

  1. Gluteus Medius
  2. Gluteus Minimus
  3. Lateral Acetabulum 
  4. Femoral Head
  5. Recess
  6. Trochanter