Interscalene Nerve Block - Locate the Brachial Plexus Image

Interscalene Nerve Block - Locate the Brachial Plexus Image

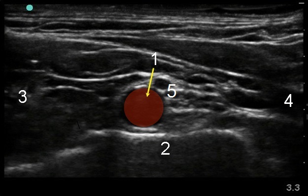
  1. Supraclavicular Artery
  2. 1st Rib
  3. Medial
  4. Lateral
  5. Brachial Plexus