Interscalene Nerve Block - Lower Neck Ultrasound Anatomy Image

Interscalene Nerve Block - Lower Neck Ultrasound Anatomy Image

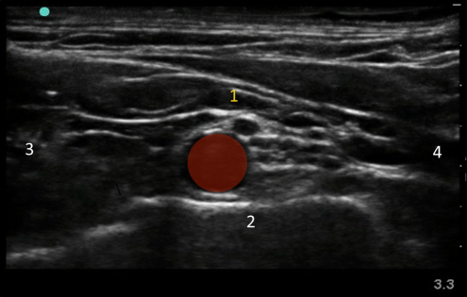
  1. Brachial plexus
  2. 1st Rib
  3. Medial
  4. Lateral