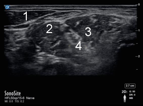
Interscalene Nerve Block - Pre-Injection Image

Interscalene Nerve Block - Pre-Injection Image

  1. Sternocleidomastoid Muscle (SCM)
  2. Anterior Scalene
  3. Middle Scalene
  4. Brachial Plexus