Knee Baker’s Cyst Anatomy 3 Image

Knee Baker’s Cyst Anatomy 3 Image

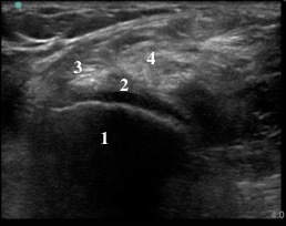
  1. Medial Femoral Condyle
  2. Articular Cartilage
  3. Semi-membranosus Tendon
  4. Medial Head of the Gastrocnemius