Knee Extruded Meniscus Image

Knee Extruded Meniscus Image

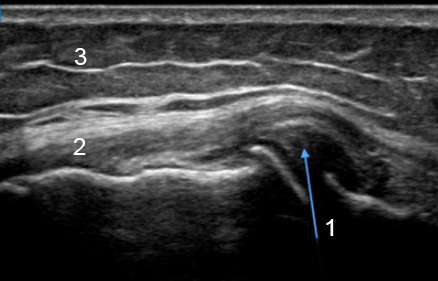
  1. Knee Medial Joint Line - Extruded Meniscus
  2. Medial Collateral Ligament (MCL)
  3. Adipose