Knee Lateral Collateral Ligament Anatomy 1 Image

Knee Lateral Collateral Ligament Anatomy 1 Image

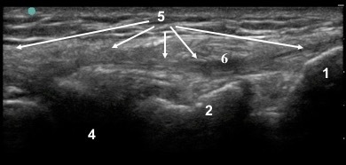
  1. Fibular Head
  2. Lateral Tibial Condyle
  3. Lateral Femoral Epicondyle
  4. Lateral Meniscus
  5. Lateral Collateral Ligament (LCL)
  6. Bicep Femoris Shadow
  7. Popliteus Tendon Groove