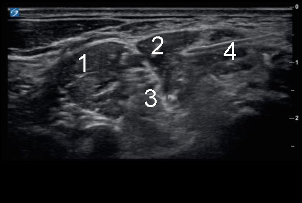
Left Interscalene Block with Needle 1 Image

Left Interscalene Block with Needle 1 Image

  1. Anterior Scalene
  2. Middle Scalene
  3. Interscalene Brachial Plexus
  4. Needle