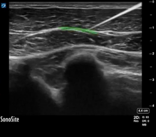
PEC 1 Fascia Pec Major and Pec Minor Highlighted Image

PEC 1 Fascia Pec Major and Pec Minor Highlighted Image

Highlighted Area: Fascia between the pectoralis major muscle and pectoralis minor muscle