PECS Anatomy 2 Image

PECS Anatomy 2 Image

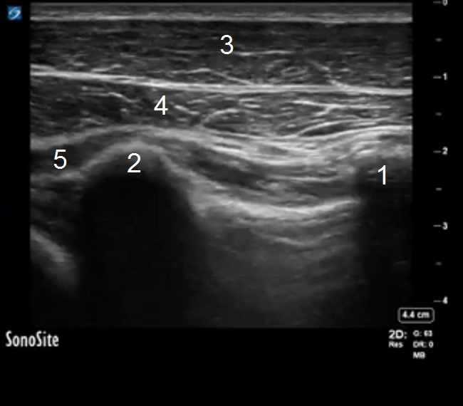
  1. Third Rib
  2. Fourth Rib
  3. Pectoralis Major Muscle
  4. Pectoralis Minor Muscle
  5. Serratus Anterior Muscle