PECS Fascia Between Serratus and Pec Minor Highlighted Image

PECS Fascia Between Serratus and Pec Minor Highlighted Image

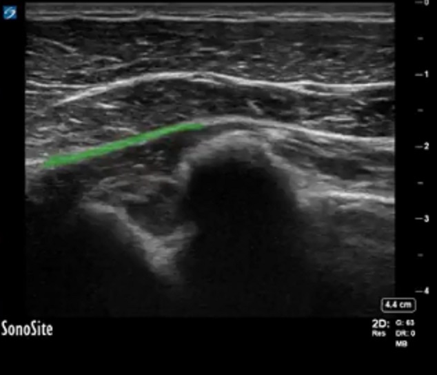
Highlighted Area: Fascia between the serratus anterior muscle and the pectoralis minor muscle (needle target)