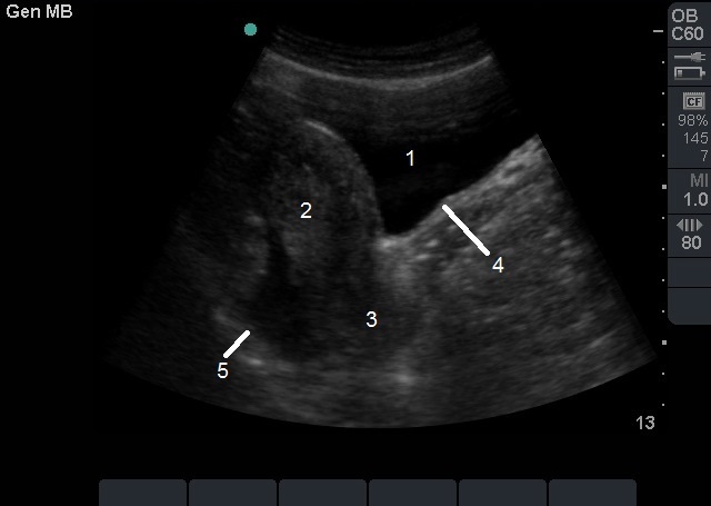
Pelvic Transabdominal (TA) Ectopic Free Fluid Image

Pelvic Transabdominal (TA) Ectopic Free Fluid Image

  1. Bladder
  2. Empty Uterus
  3. Cervix
  4. Vaginal Stripe
  5. Free Fluid in Posterior Cul-de-sac