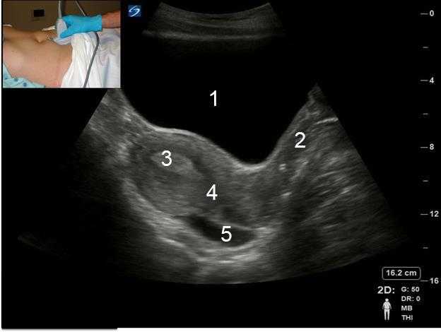
Pelvic Transabdominal (TA) Scanning – Sagittal Image

Pelvic Transabdominal (TA) Scanning – Sagittal Image

  1. Bladder
  2. Vagina
  3. Endometrium
  4. Uterus
  5. Posterior Cul-de-sac