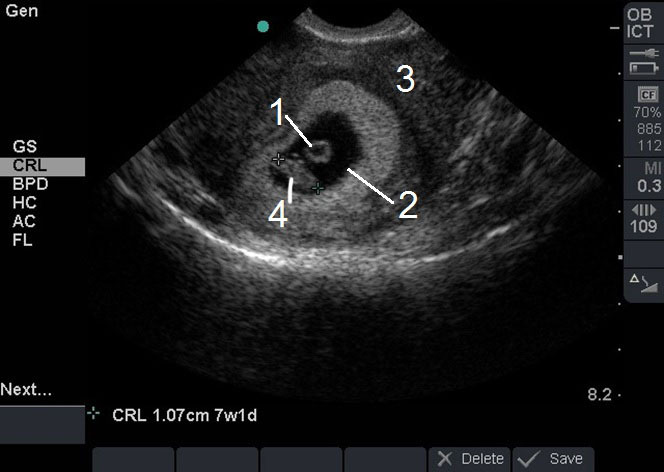
Pelvic Transvaginal (TV) Intrauterine Pregnancy (IUP) with Crown Rump Length (CRL) 7Wk-1D Image

Pelvic Transvaginal (TV) Intrauterine Pregnancy (IUP) with Crown Rump Length (CRL) 7Wk-1D Image

  1. Yolk Sac
  2. Gestational Sac
  3. Uterus
  4. Fetal Pole