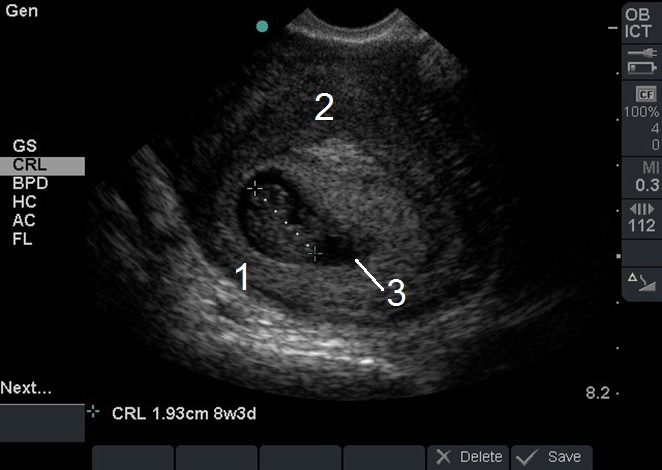
Pelvic Transvaginal (TV) Intrauterine Pregnancy (IUP) with Crown Rump Length (CRL) 8wk-3d Image

Pelvic Transvaginal (TV) Intrauterine Pregnancy (IUP) with Crown Rump Length (CRL) 8wk-3d Image

  1. Fetal Pole
  2. Uterus
  3. Gestational Sac