RUSH PUMP 2 Image

RUSH PUMP 2 Image

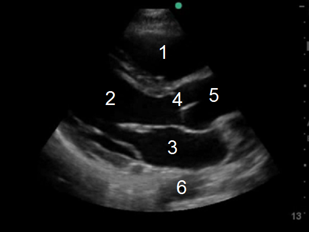
  1. Right Ventricle (RV)
  2. Left Ventricle (LV)
  3. Left Atrium (LA)
  4. Aortic Valve (AV)
  5. Ascending Aorta
  6. Descending Aorta