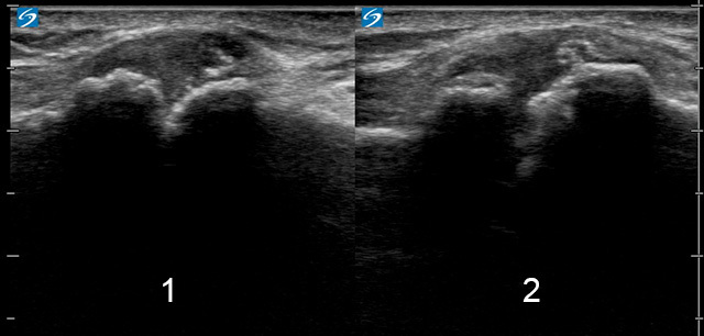
Shoulder Acromioclavicular (AC) Joint Dynamic Image

Shoulder Acromioclavicular (AC) Joint Dynamic Image

  1. Compressed-patient moves ipsilateral palm to cover the contralateral anterior humeral head
  2. Neutral-arm hanging at side