Shoulder Anatomy Teres Minor Evaluation Transverse Axis Mid-Near Myotendinous Junction Image

Shoulder Anatomy Teres Minor Evaluation Transverse Axis Mid-Near Myotendinous Junction Image

 

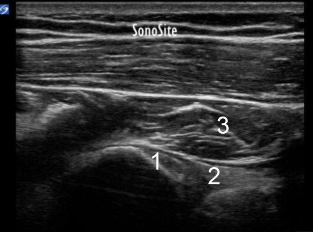
  1. Inferior Glenoid Tubercle (origin of the triceps tendon long head)
  2. Triceps Long Head
  3. Teres Minor Muscle