Shoulder Anatomy Teres Minor Versus Infraspinatus Evaluation Proximal 1 Image

Shoulder Anatomy Teres Minor Versus Infraspinatus Evaluation Proximal 1 Image

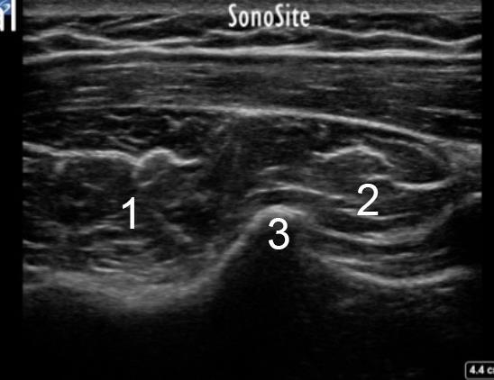
  1. Inferior Glenoid Tubercle (where the attachment of the triceps tendon short head is taking place)
  2. Triceps Tendon Long Head
  3. Bony Ridge on Posterior Scapula that Separates Teres Minor from Infraspinatus