Shoulder Anterior Biceps Groove Image

Shoulder Anterior Biceps Groove Image

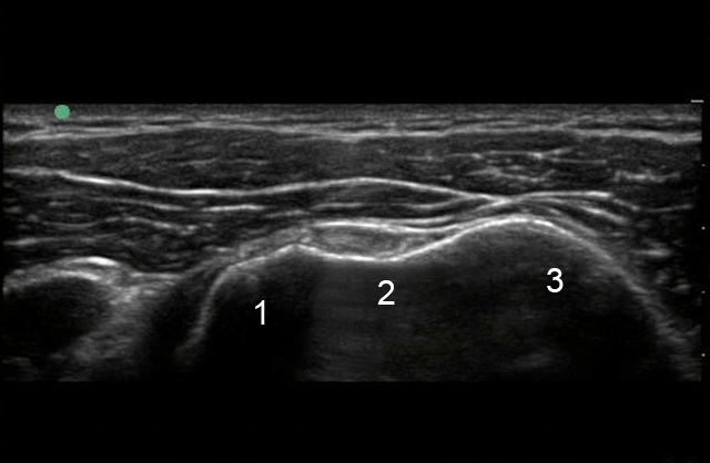
  1. Lesser Tuberosity
  2. Bicipital Groove (Biceps Groove)
  3. Greater Tuberosity