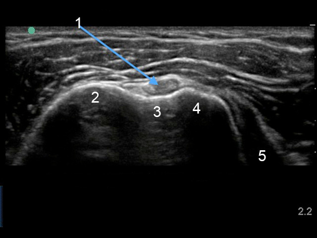
Shoulder Biceps Tendon Transverse Image

Shoulder Biceps Tendon Transverse Image

  1. Long Head of the Biceps Tendon
  2. Greater Tuberosity
  3. Bicipital Groove
  4. Lesser Tuberosity
  5. Subscapularis Tendon