Shoulder Diffuse Tendinosis Evaluation 2 Image

Shoulder Diffuse Tendinosis Evaluation 2 Image

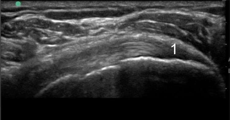
  1. Tendon Insertion: not tendinosis

This is a normal tendon showing the expected anisotropic insertion.