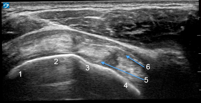
Shoulder Rotator Cuff Interval Image

Shoulder Rotator Cuff Interval Image

  1. Infraspinatus
  2. Supraspinatus
  3. Biceps Tendon (BT)
  4. Subscapularis
  5. Superior Glenohumeral Ligament (SGHL)
  6. Coracohumeral Ligament (CHL)