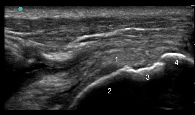
Shoulder Rotator Cuff Post-Operative Longitudinal Image

Shoulder Rotator Cuff Post-Operative Longitudinal Image

  1. Supraspinatus
  2. Humeral Head
  3. Foot Print
  4. Greater Tuberosity (GT)