Shoulder Subscapularis Tendon 2 Image

Shoulder Subscapularis Tendon 2 Image

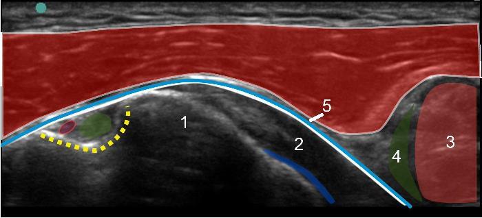
  1. Lesser Tuberosity
  2. Subscapularis Tendon
  3. Coracobrachialis
  4. Short Head of the Biceps Tendon
  5. Subacromial Subdeltoid Bursa