Skip to main content
What do you want to learn?
Sign In
Join Now
Sign In
Menu
My Profile
My Courses
Admin Courses
Sign Out
Main navigation
Home
Courses
Webinars
Product Training
Toolkits
Menu
Sonosite Resources
Additional Resources
eLibrary
Contributors
Contact Us
English
Español
日本語
Deutsch
Français
简体中文
English
Español
日本語
Deutsch
Français
简体中文
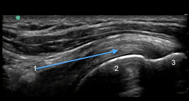
Shoulder Supraspinatus Tendon Longitudinal Image
Shoulder Supraspinatus Tendon Longitudinal Image
Supraspinatus
Humeral Head
Greater Tuberosity (GT)