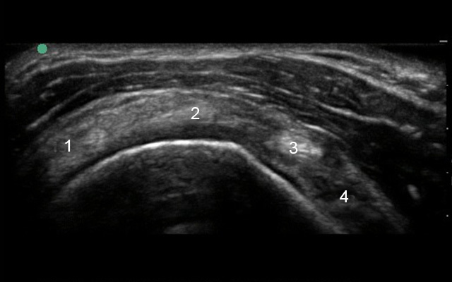
Shoulder Supraspinatus Transverse Image

Shoulder Supraspinatus Transverse Image

  1. Infraspinatus (IS)
  2. Supraspinatus (SS)
  3. Biceps Tendon (BT)
  4. Subscapularis (SUB)