Supraclavicular Brachial Plexus and Ulnar Nerve Anatomy Image

Supraclavicular Brachial Plexus and Ulnar Nerve Anatomy Image

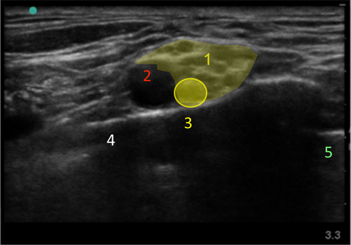
  1. Brachial Plexus
  2. Artery
  3. Ulnar Nerve
  4. Rib
  5. Pleura