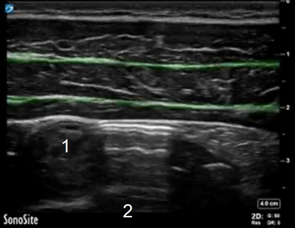
TAP Fascia Highlighted Image

TAP Fascia Highlighted Image

Highlighted Area: Fascia

  1. Loop of Bowel in Cross-Section
  2. Peritoneal Cavity