TAP Rectus Sheath Highlighted Image

TAP Rectus Sheath Highlighted Image

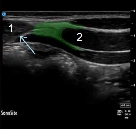
Highlighted Area: Aponeurosis of the Internal Oblique Muscle

  1. Rectus Muscle
  2. Internal Oblique Muscle

Blue Arrow: Rectus Sheath