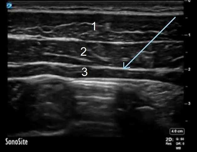
TAP Three Muscle Layers Image

TAP Three Muscle Layers Image

  1. External Oblique Muscle
  2. Internal Oblique Muscle
  3. Transversus Abdominis Muscle
    Blue Arrow: Fascia